Herausnehmbarer Zahnersatz
Neu bieten wir auch totale herausnehmbare Prothesen mit grundlegenden BPS-Elementen an - diese Ausführung bietet höhere Stabilität und bessere Funktion beim Sprechen und Kauen.
Teil- und Skelettprothesen fertigen wir auch aus halbflexiblem Zirlux ACETAL Copolymerharz (Zahnfarben A2, A3, A3.5 und C3) - hochästhetischer Zahnersatz ohne Metall.
Für herausnehmbaren Zahnersatz verwenden wir IVOCAP-Technologie von Ivoclar (niedriger Restmonomer), Futura-Gießharz von Schütz Dental und DEFLEX-Thermoplast (flexibel, leicht und ästhetischer dank nahezu unsichtbarer Halteelemente).
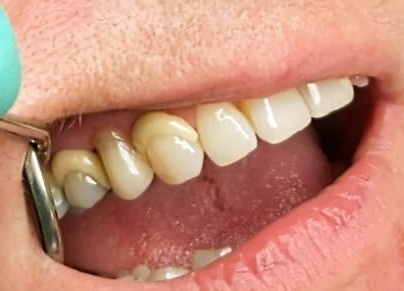
Skelettprothesen werden als Kombination aus Metall (CoCr) und Harzen von Ivoclar/Schütz Dental hergestellt oder metallfrei aus halbflexiblem Zirlux Acetal Copolymer bzw. DEFLEX-Thermoplast. Das Metallgerüst kann auch mit Zirlux Acetal oder Deflex kombiniert werden.
Bei kombiniertem Zahnersatz fertigen wir Geschiebe, Hybridarbeiten und Teleskoparbeiten (Acrylock, Spharlock, MK1 Technologie).
Totale herausnehmbare Prothesen


Teilprothesen - Skelettprothesen


Skelettprothese Kombination Metall + Zirlux ACETAL






Herausnehmbare Prothese - ACETAL


















Skelettprothese - ACETAL











Deflex-Prothese






Skelettprothese, Kombination Metall + Deflex



